
Dental Veneers
Dental Veneers
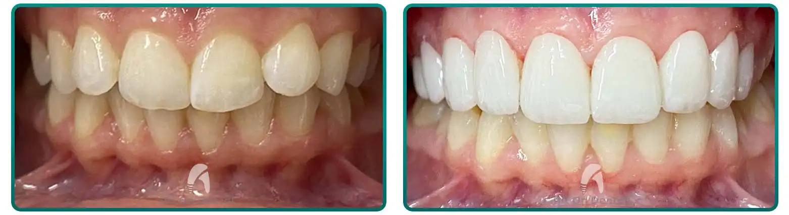
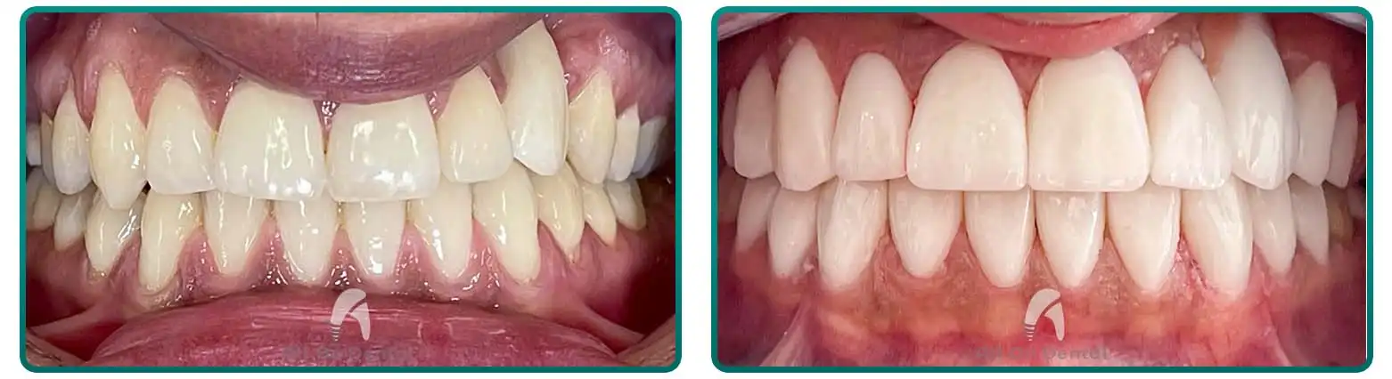
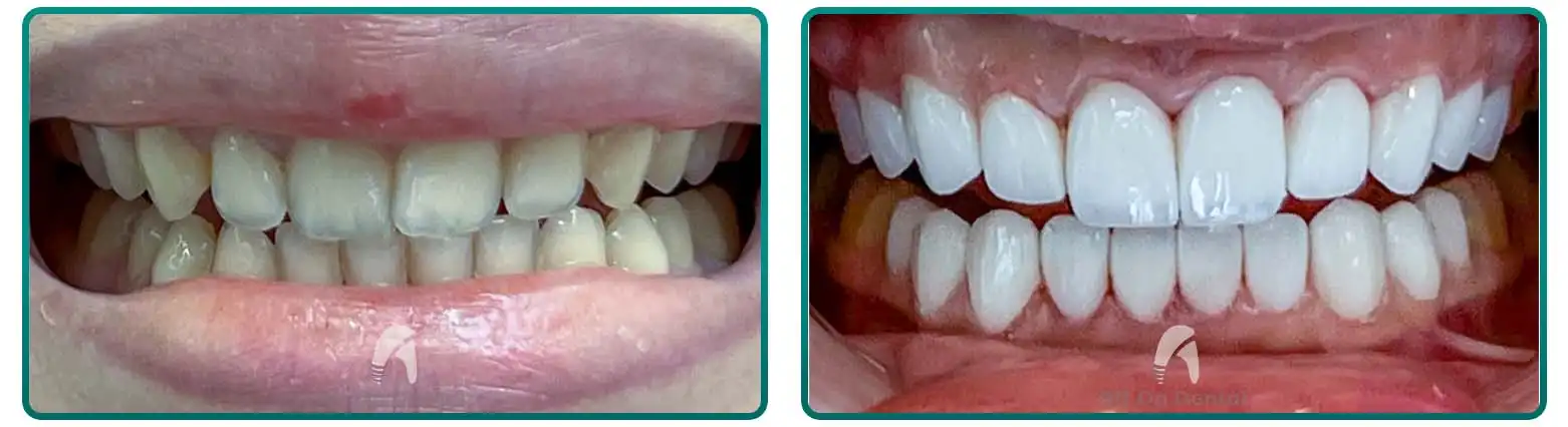
Dental veneers can rebuild the natural impression of teeth. Veneers are slim shells that are individually crafted and bonded to the front enamel of your teeth. Veneers are usually created from porcelain materials and then connected to your teeth via uniquely formulated dental viscous cement.
Veneers have become more prevalent in the last few years. Once dedicated to celebrities, veneers are now more standard, thanks to affordable prices for dental treatment in Turkey.
Dental Veneers In a Nutshell
Everything you need to know about your Dental Veneers treatment at a glance.
Dental Veneers is Perfect For
Treatment in Turkey
Treatment Duration
- Treatment trip takes 6 days
- Enamel preparation takes 30 minutes
- Veneers crafted within 4-5 days
- Bonding of veneers usually takes 2 hours
- Several fitting and check-ups before travelling home
Success Rate
- About 95% of porcelain veneers serve perfectly for 5 years
- 93.5% success rate over 10 years
Recovery Period
Resume regular activity directly after bonding
Things to Know
- Sensitivity to hot and cold due to enamel removal
- Veneer colour may not accurately match natural teeth
- Veneers can disconnect and fall out
- Veneers can hide tooth decay process
Alternative Treatments








All On Dental Dental Veneers Prices
Treatment Options
Premium quality materials
Emax Empress Veneer
Price for 10 Veneers
Price by Country
Compare and save big
Save compared to UK/USA prices
Everything You Need to Know About Dental Veneers
How Do Veneers Look?
If you’ve ever noticed a star with absolutely perfect teeth, don’t despair – they may have dental veneers. Some may get one or two dental veneers to enhance their teeth’s appearance, while others may go for more to have a symmetrical smile. It’s essential to understand what happens through veneer treatment before you choose to go for it.
Veneers: Step by Step Guide
Veneer treatment includes several sessions. If you have veneers fitted at All On Dental clinic, the process may take six days to complete, depending on the individual patient and your dentist’s suggestions.
After sharing your smile images, you will know your trip details and the price.
Dental Consultation
First, you want to send images and x-rays of your teeth so your dentist can ensure they are suitable for dental Veneers. Once evaluated, you’ll receive a treatment plan with trip details. The first day after your arrival in Turkey will be a consultation with your dentist. Your dentist will examine your teeth, look for signs of damage or decay, and explain your veneers’ translucence, shade, shape, and colour.
Preparation of Your Teeth
Dental tools remove the external enamel layer from the teeth getting Veneers. This process is identified as ‘shaving down,’ and it’s essential to know that your dentist will shave down barely enough enamel so that your veneers don’t look bulky once fitted.
Making the Impression
After your teeth have been prepared, your dentist will make an impression by creating veneers that uniquely match your teeth. Your dentist will then give the mold to a dental laboratory which will use it to produce exact replicas of the damaged teeth.
If you have veneers fitted at All On Dental, the crafting can take around 2-4 days. But the time you need to be in Turkey can vary depending on arrival day and availability.
While you wait for your veneers, you’ll be provided with temporary ones to wear while the permanent veneers are being made. The temporary veneers are just for protection and appearance. They might not be optimum for chewing hard food and chewy food. You are advised to eat processed soft food for around four days.
Choosing the Shade
Before any veneer can be crafted, the color of the suitable veneer will need to be chosen. Each patient gets a personalized approach for their veneers using a color chart. The color chart guarantees a perfect finish and helps build a more natural teeth expression.
Bonding the Veneers
Within four working days, the permanent veneers are ready. The next round is the bonding procedure. Your dentist will clean, polish, and etch your teeth. Etching allows a robust bonding method.
After that, the dental cement is applied to the teeth, and the veneer is attached. The dentist will use a specially focused light beam to bond the veneer to the tooth. This step only takes a few minutes. Lastly, any excess cement will be extracted, leaving the veneer in place and returning the natural look of your teeth.
What Are The Different Types of Veneers?
There are a couple of popular types of materials used to create a dental veneer:
Porcelain Veneers
Porcelain veneers have many features that make them a practical choice. They typically require some dental work to shave down the teeth for bonding, but they have notable benefits. They reflect light more naturally, simulating the effect of tooth enamel entirely. They’re also more robust, can last longer than composite veneers, and resist teeth staining more efficiently with decent care.
IPS Empress Veneer
An IPS Empress veneer is an inclusive restoration for teeth that are more obvious when you smile. They are also tough enough to close some gaps between teeth. IPS Empress veneers are cemented to the front of teeth usually.
E-MAX Veneer
E-MAX veneers offer various advantages and features. Made from a single block of lithium disilicate ceramic, this is a top-class material known for its toughness, durability, and translucency, making it a highly prized option. This is considered to be the closest match for your natural teeth.
Composite Veneers
Composite veneers can be more comfortable than porcelain options, as they’re cheaper and require fewer dentist visits. They can be created in one sitting and require less drilling and processing of your teeth. However, composite veneers are usually less hard-wearing than porcelain veneers. They will generally have to be replaced within five years of installation. They’re often more susceptible to staining and don’t always have a natural-looking toothlike translucency.
What Are The Advantages Of Having Veneers?
Veneers can significantly enhance the appearance of worn or discoloured teeth. They’re a long-lasting procedure capable of giving your teeth a renewed and natural-looking shape and color.
One of the most compelling advantages of veneers is their versatility. They’re able to correct many different dental issues:
- Repair chipped or cracked teeth
- Improve your smile’s appearance quickly
- Correct teeth discoloration
- Protect your teeth
- Cover uneven teeth, gaps, or stains
- Fix unusually shaped or sized teeth
The tremendous extra advantage is that you have a choice when deciding their color, enabling you to select one that suits the rest of your natural teeth and your skin. Porcelain veneers also have the same light-reflecting features and translucence as natural teeth to ensure that your surfaces won’t look artificial or unnatural.
Veneers: At Home Or In Turkey?
Going for veneers in Turkey has grown more common. There are significant reasons behind this increase in popularity over the past years.
Individuals travel overseas to have veneers treatment because:
- Cost efficiency without compromising quality - Veneers in our clinic cost 70-80% less than in the UK, USA, and Europe.
- Expert dentists - All On Dental employs the most renowned and skilled dentists with modern dental technology.
- State-of-the-art facilities - All On Dental is equipped with modern dental studios and devices.
- Premium patient care - The standards of patient care offered at All On Dental match and often exceed those at your local dentist.
How To Take Care Of My Veneers After Treatment?
Following your veneers fitting, you’ll want to have a final check-up with your dentist to evaluate how good the veneers are. Your dentist will examine how the veneers interact with your gum tissues and make any suggestions for dental hygiene in the future.
Looking after your dental veneers is generally straightforward. Here are essential tips to prolong your veneers’ life:
- Practice proper oral hygiene to prevent gum disease and visit your dentist twice yearly
- Use soft toothbrushes and non-abrasive toothpaste to protect the polish and surface
- Stop grinding or clenching your teeth – ask your dentist for a nightguard if you have bruxism
- Quit smoking – veneers become stained and discoloured due to smoking
- Book professional dental cleaning sessions specifically for veneers
- Avoid chewing on complex objects such as ice, fingernails, pens, and pencils
- Use a mouthguard when engaging in sports
- Avoid staining foods and beverages – while veneers are stain-resistant, the adhesive is not
Why Choose Allon Dental for Dental Veneers?
We combine world-class expertise with affordable pricing to deliver outstanding results that exceed your expectations.
100% Free Consultation
Get a completely free, no-obligation consultation with our specialist dentists. We'll assess your needs and provide a detailed treatment plan tailored just for you.
Learn More100% Guarantee Policy
We stand behind every treatment we provide. If you experience any issues within the guarantee period, we'll resolve them at no additional cost to you.
Learn MoreAll-Inclusive Packages
Our comprehensive packages include accommodation, airport transfers, and all follow-up care — so you can focus entirely on your new smile.
Learn More4.8/5
Google Rating
4.7/5
Trustpilot
5,000+
Happy Patients
15+
Years of Experience
Book your free consultation today and take the first step towards the smile you've always dreamed of with our expert team.
