
Teeth Whitening
Teeth Whitening
Teeth whitening is a cosmetic treatment performed to whiten teeth. The best type of teeth whitening is called in-office teeth whitening. This technique ensures the highest accuracy and gives immediate results.
Professional teeth whitening is convenient and straightforward, done the same day as your consultation, and takes about 60 minutes.
Teeth Whitening In a Nutshell
Everything you need to know about your Teeth Whitening treatment at a glance.
Teeth Whitening is Perfect For
Treatment in Turkey
Treatment Duration
- In-office teeth whitening takes from 60 to 90 minutes
- Individuals may need one to two visits to get the best results, depending on the case
Success Rate
- Adequately performed teeth whitening marks with up to 90 per cent success rate
Recovery Period
Prompt return to normal activities with no recovery time in most cases. Teeth may be sensitive for some days.
Things to Know
- Teeth sensitivity
- Root canal damage
Alternative Treatments








All On Dental Teeth Whitening Prices
Treatment Options
Premium quality materials
In-Office Laser Teeth Whitening
-
Price by Country
Compare and save big
Save compared to UK/USA prices
Everything You Need to Know About Teeth Whitening
How Much Does Teeth Whitening Cost In Turkey?
Teeth whitening costs are becoming increasingly affordable these days. However, there is much confusion about how much you will be required to pay for a teeth whitening treatment. That means we’ve put together this comprehensive guide to give you a better idea of how much it will cost you when you go to the dentist for teeth whitening.
What Is Teeth Whitening?
Teeth whitening is a procedure for whitening teeth. The color is caused by the reflection of light on the enamel. A thin coating forms on the teeth’s enamel to pick up stains. There are also tiny pores in the teeth that can hold stains. As the enamel thins with age, more of the dentin’s color inside the teeth can show through, which is why teeth may appear darker as people grow old.
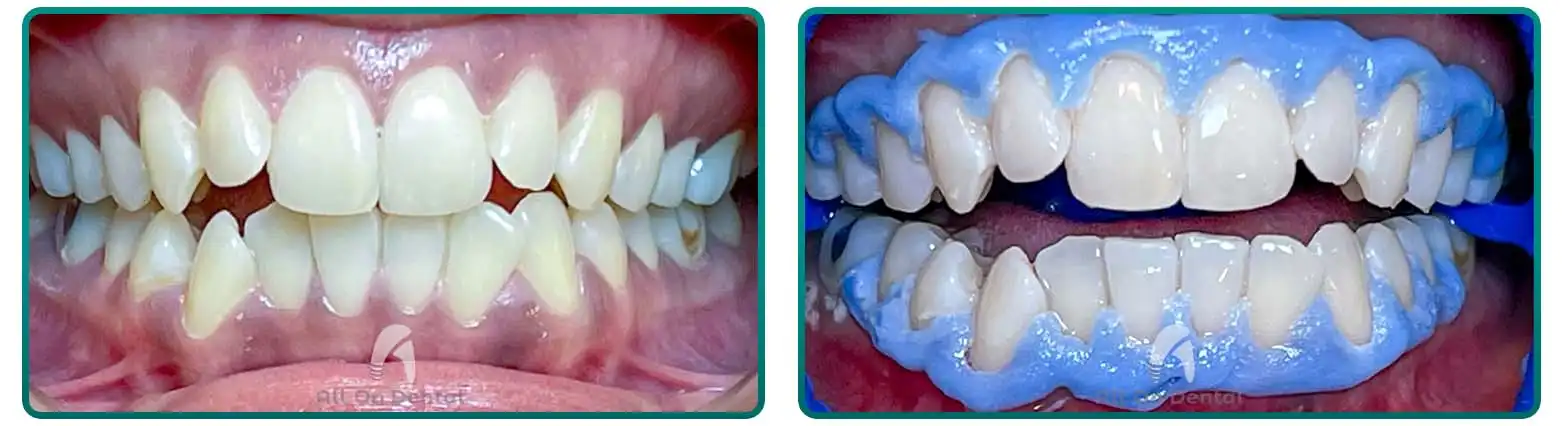
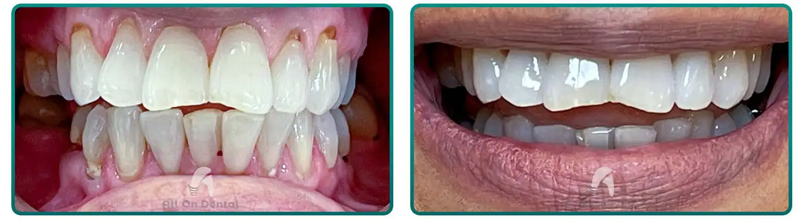
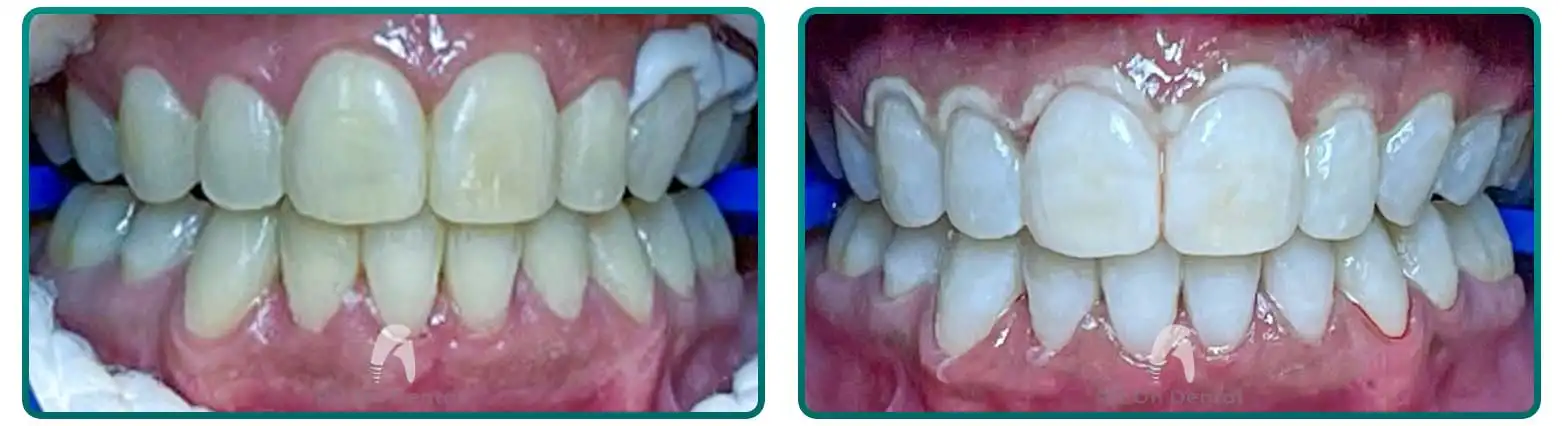
To make the teeth whiter, dentists apply a concentrated hydrogen peroxide solution to the teeth while protecting the gums during a visit between 30 minutes and 90 minutes, depending on which method is used. Teeth whitening is a cosmetic treatment used to lighten the color of your teeth. It uses a custom-fitted mouthguard, peroxide gel, and LED light therapy to brighten your smile’s shade dramatically.
The treatment can whiten teeth stained from smoking, foods, and drinks and whiten teeth that have become darker with age.
How Does Teeth Whitening Work?
A standard teeth whitening procedure is not painful for most people. Many people can watch television or take a nap during the treatment. While you are having the teeth whitening procedure, the dentist will take an impression of your teeth and create a mold called a bite trac. The track will be used to make your custom-fitted tray. Here are some of the steps to expect during the teeth-whitening process:
Cheek Retractor Inserted
The dentist will place a cheek retractor into your mouth. This instrument pulls the lips and cheeks back to expose all of the teeth that will be whitened.
Protective Solution Applied to Gums
Next, the dentist will apply a hardening resin to protect the gums or put on a liquid rubber to protect the gum tissues from the bleaching agent.
Application of the Bleaching Gel
The dentist then applies the bleaching gel on the front aesthetic teeth, which people can see when the mouth is open and when you smile. The gel will stay for 20 to 30 minutes.
Suctioning of the Gel
The dentist will then suction off the gel of the teeth. The fresh gel will be applied for another 20 to 30 minutes.
Use of Ultraviolet or LED Light
The dentist will use ultraviolet or LED light on the teeth during the gel’s applications to accelerate and enrich the teeth whitening procedure.
Checking the Teeth
The dentist will review the teeth between each gel application to see if your teeth might need more to achieve the best results. Some people may need several.
After the Last Application
After the last application of the whitening gel, the dentist will remove the cheek extractor. You will then rinse your mouth, and the dentist will measure the color difference.
What To Expect From Teeth Whitening?
After In-Office teeth whitening, you can expect your teeth to be up to 5 shades lighter than before. Some people may have up to eight shades of whiter teeth after teeth whitening.
Why Choose All On Dental For Teeth Whitening?
Our mission is to make dental care an accessible reality for everyone who needs it conveniently, ably, and comfortably. By performing all stages of dentistry in-house, we can dedicate all our expertise to you and your case. In this way, we can provide patients with dental treatments in Istanbul that are beautiful, comfy to wear, and long-lasting enough to last a lifetime.
We put the patient first; we are on a mission to revolutionize healthcare. The urge to get high-quality, affordable dental care shouldn’t be defined by your location, which is why All On Dental exists.
✔ 100% Free Online Consultation: We’re here to help – whether you book your dental treatment with us. Our free 100% non-binding assessment is an easy, convenient way to determine which dental treatment is the best for you. Find out in just one email or call if it’s right for you.
✔ 100% Treatment Guarantee Policy: Our patients are at the centre of everything we do. We value patient satisfaction and recognize that a healthy smile is vital to feeling good about yourself. So we’re proud to offer a 100% satisfaction guarantee – if your treatment isn’t what We promised you or you experience any problems, it won’t cost you a penny to redo the treatment again in our clinic. If we can help you through any issues, we’ll also pay for a second treatment, accommodation, and transportation.
✔ All-Inclusive Packages: First travel to Turkey? We offer all-inclusive packages covering everything, including hotel accommodation, airport pick-up, and transfers to and from our clinic. Please book your flights and leave the rest to our patient service team. They will stay with you throughout your treatment to ensure everything goes as planned.
Why Choose Allon Dental for Teeth Whitening?
We combine world-class expertise with affordable pricing to deliver outstanding results that exceed your expectations.
100% Free Consultation
Get a completely free, no-obligation consultation with our specialist dentists. We'll assess your needs and provide a detailed treatment plan tailored just for you.
Learn More100% Guarantee Policy
We stand behind every treatment we provide. If you experience any issues within the guarantee period, we'll resolve them at no additional cost to you.
Learn MoreAll-Inclusive Packages
Our comprehensive packages include accommodation, airport transfers, and all follow-up care — so you can focus entirely on your new smile.
Learn More4.8/5
Google Rating
4.7/5
Trustpilot
5,000+
Happy Patients
15+
Years of Experience
Book your free consultation today and take the first step towards the smile you've always dreamed of with our expert team.
