
Dental Bridge
Dental Bridge
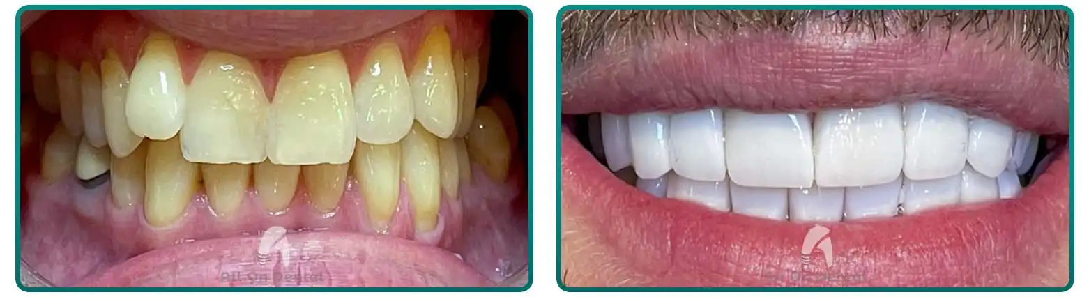
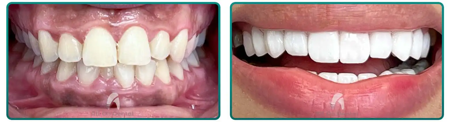
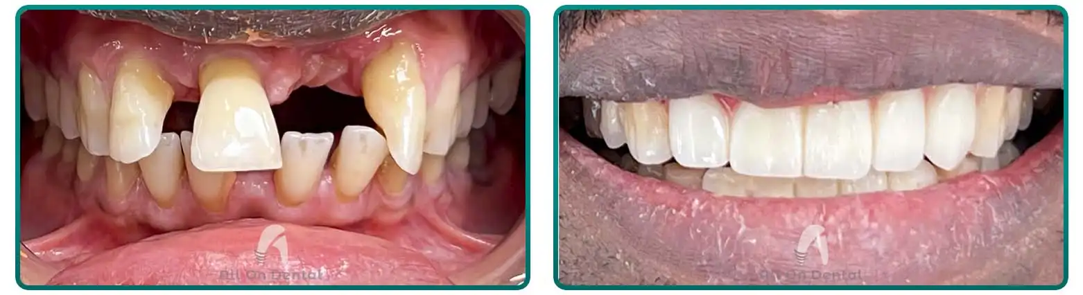
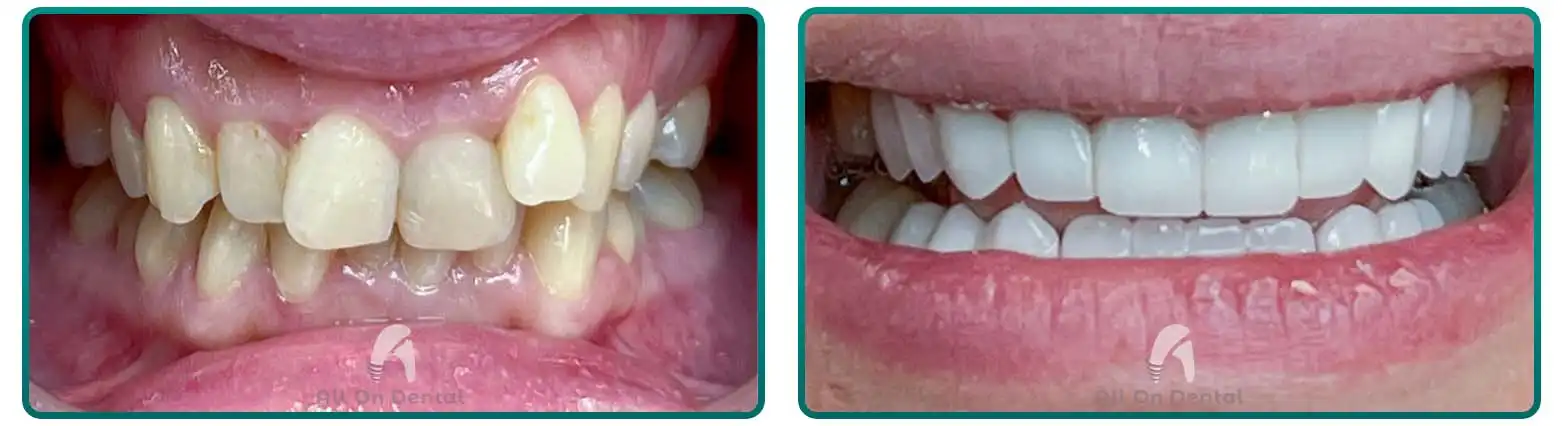
A dental bridge is a permanent restoration that replaces one or more missing teeth. Unlike conventional dentures, which may be pulled out at any time to be cleaned, bridges are fixed in place.
A dental bridge is supported by either natural teeth or dental implants on both sides. Bridges consist of a crown for the tooth or teeth on either side of the gap — these are called abutment teeth — and a pontic (false tooth) in between.
Dental Bridge In a Nutshell
Everything you need to know about your Dental Bridge treatment at a glance.
Dental Bridge is Perfect For
Treatment in Turkey
Treatment Duration
- Preparation and impression takes 1-2 days
- Bridge fabrication takes 3-5 days
- Final fitting and adjustments on the last day
Success Rate
- Dental bridges have a success rate of 90% after 10 years when properly maintained
Recovery Period
Minimal recovery time. Most patients adapt to their new bridge within a few days.
Things to Know
- Sensitivity in abutment teeth
- Decay in anchor teeth
- Poor fit
- Bridge fracture
Alternative Treatments










All On Dental Dental Bridge Prices
Treatment Options
Premium quality materials
Zirconium
Per Unit
Emax Empress
Per Unit
Price by Country
Compare and save big
Save compared to UK/USA prices
Everything You Need to Know About Dental Bridge
How Much Does a Dental Bridge Cost In Turkey?
The cost of a dental bridge depends on several factors, including the number of teeth being replaced, the type of materials used, and the complexity of the procedure. Turkey offers competitive prices for high-quality dental bridges.
What Is a Dental Bridge?
A dental bridge literally “bridges” the gap created by one or more missing teeth. A bridge is made up of two or more crowns for the teeth on either side of the gap — these two or more anchoring teeth are called abutment teeth — and a false tooth/teeth in between. These false teeth are called pontics and can be made from gold, alloys, porcelain, zirconia, or a combination of these materials.
Dental bridges are supported by natural teeth or implants and are cemented in place, making them a fixed solution for missing teeth.
Types of Dental Bridges
Traditional Bridges
The most common type of dental bridge. It consists of a pontic held in place by dental crowns that are cemented onto the abutment teeth. Traditional bridges can be used when you have natural teeth on both sides of the gap.
Cantilever Bridges
Similar to traditional bridges, but the pontic is supported by a crown on only one side. This type is used when there are adjacent teeth on only one side of the missing tooth.
Maryland Bridges
Also known as a resin-bonded bridge, this type uses a metal or porcelain framework that is bonded to the backs of the abutment teeth. It’s less invasive as it doesn’t require crowns on adjacent teeth.
Implant-Supported Bridges
Instead of being supported by crowns or frameworks, these bridges are supported by dental implants. Typically, one implant is placed for every missing tooth, and these implants hold the bridge in position.
Dental Bridge: Step by Step Guide
First Visit: Preparation
During the first visit, the abutment teeth are prepared. Preparation involves recontouring these teeth by removing a portion of enamel to allow room for a crown to be placed over them. Next, impressions of the teeth are made, which serve as a model from which the bridge, pontic, and crowns will be made by a dental lab.
Temporary Bridge
Your dentist will make a temporary bridge to wear to protect the exposed teeth and gums while the bridge is being made.
Second Visit: Fitting
During the second visit, the temporary bridge will be removed and the new porcelain or zirconia bridge will be checked and adjusted as necessary to achieve a proper fit. Multiple visits may be required to check the fit of the metal framework and bite.
Final Cementation
After a proper fit is achieved, the bridge is cemented into place permanently.
Benefits of Dental Bridges
- Restore your smile – Fill gaps and improve your appearance
- Restore ability to properly chew and speak – Missing teeth can affect how you eat and talk
- Maintain the shape of your face – Teeth support your facial structure
- Distribute forces in your bite – By replacing missing teeth, forces are spread evenly
- Prevent remaining teeth from drifting – Gaps can cause other teeth to shift out of position
How Long Do Dental Bridges Last?
Dental bridges can last 5 to 15 years and even longer. With good oral hygiene and regular checkups, it’s not unusual for the life span of a fixed bridge to be over 10 years.
Why Choose All On Dental For Dental Bridge?
Our mission is to make dental care an accessible reality for everyone who needs it conveniently, ably, and comfortably. By performing all stages of dentistry in-house, we can dedicate all our expertise to you and your case.
We put the patient first; we are on a mission to revolutionize healthcare. The urge to get high-quality, affordable dental care shouldn’t be defined by your location, which is why All On Dental exists.
✔ 100% Free Online Consultation: We’re here to help – whether you book your dental treatment with us. Our free 100% non-binding assessment is an easy, convenient way to determine which dental treatment is the best for you.
✔ 100% Treatment Guarantee Policy: Our patients are at the centre of everything we do. We value patient satisfaction and recognize that a healthy smile is vital to feeling good about yourself.
✔ All-Inclusive Packages: First travel to Turkey? We offer all-inclusive packages covering everything, including hotel accommodation, airport pick-up, and transfers to and from our clinic.
Why Choose Allon Dental for Dental Bridge?
We combine world-class expertise with affordable pricing to deliver outstanding results that exceed your expectations.
100% Free Consultation
Get a completely free, no-obligation consultation with our specialist dentists. We'll assess your needs and provide a detailed treatment plan tailored just for you.
Learn More100% Guarantee Policy
We stand behind every treatment we provide. If you experience any issues within the guarantee period, we'll resolve them at no additional cost to you.
Learn MoreAll-Inclusive Packages
Our comprehensive packages include accommodation, airport transfers, and all follow-up care — so you can focus entirely on your new smile.
Learn More4.8/5
Google Rating
4.7/5
Trustpilot
5,000+
Happy Patients
15+
Years of Experience
Book your free consultation today and take the first step towards the smile you've always dreamed of with our expert team.
