
All-On-6 Dental Implants
All-On-6 Dental Implants
All-On-6 Dental Implants In a Nutshell
Everything you need to know about your All-On-6 Dental Implants treatment at a glance.
All-On-6 Dental Implants is Perfect For
Treatment in Turkey
Treatment Duration
- Placement of dental implants takes about 1-2 hours under local anaesthesia and three days trip to Turkey
- Healing takes about 3-6 months for gums and jawbone
- Preparation of dental crowns takes 5-7 days
Success Rate
- About 95% of All-On-6 implant procedures are successful
Recovery Period
The implant area and gums usually take about 10 days to heal. Full healing period is 3-6 months.
Things to Know
- Implant failure (5-10% incidence)
- Infection at the implant area
- Harm or damage to the surrounding teeth or blood vessels
- Nerve harm during placement of the implant, generating pain or numbness
- Failure in the implant integration to the jawbone
Alternative Treatments






All On Dental All-On-6 Dental Implants Prices
Treatment Options
Premium quality materials
Full Arch All-On-6 Implants (6 Implants + 14 Crowns)
Per Arch
Full Arch All-On-6 Implants (6 Implants + 14 Crowns)
Per Arch
Full Arch All-On-6 Implants (6 Implants + 14 Crowns)
Per Arch
Price by Country
Compare and save big
Save compared to UK/USA prices
Everything You Need to Know About All-On-6 Dental Implants
How Much Do All-On-6 Implants Cost In Turkey?
Costs of All-On-6 implants have become more reasonable in recent years. But, these prices can differ based on a few different aspects:
- The dentist and clinic that you desire
- Whether you decide to get All-On-6 implants in Turkey or abroad (usually lower prices)
- The place of the damaged or missing teeth
- The class of material used to create the crowns
- The type of Implants used and brand
What Is All-On-6 Implants Procedure?
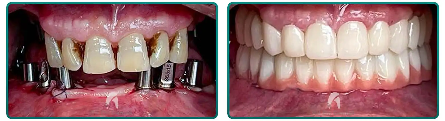
All-on-6 dental implants were specially designed and developed to let dentists restore more teeth with fewer implants. As the name means, All-On-6 Implants are fitted with six easily placed implants per jaw. These six implants are installed in the lower or upper jaw and support 10-14 custom-made crowns. All-On-6 Implants are made of a gum-coloured acrylic base to give them a natural look. In contrast, the crowns can be made of zirconia or porcelain.
All-On-6 Implants: Step by Step Guide
While the all-on-6 procedure can differ depending on individual cases, some standard steps are applied.
1. Initial Consultation, CT Scans, and X-Rays
The pre-procedure step starts by taking a CT scan or X-ray to evaluate the situation of your mouth and jawbone density. Impressions of your teeth and gum tissues are also made and sent to our dental lab to design customized prostheses — the jaw and tooth bridges connected to the implants.
2. Anesthesia and Extraction
Local anaesthesia is delivered to numb the mouth area that your dentist will work on. If any teeth extraction is required, this will be done simultaneously with the implant fitting.
3. All-On-6 Implant Placement
Four holes are made at the front of the jaw and two at the back. Implants are then installed at a 30-45° angle. All holes are stitched with soluble thread that dissolves within weeks. Around 3-6 months later, once your gums have fully healed, you can return to our clinic to fit the abutment and crowns.
What Should I Expect From All-On-6 Implants?
Healing and Outcomes
The process itself takes about 2-3 hours, so wear cozy clothes and be ready to be sitting for that length of time. Your dentist will more than likely be helped during the procedure by a dental nurse. Your patient coordinator will also be there to make sure you’re pleased.
Having all-on-6 dental implants done isn’t usually a painful procedure. But, you might have some pain and discomfort for a couple of days after the process, which you can generally manage with over-the-counter painkillers. Recovery time is usually relatively short. Typically, it takes about 3-10 days to heal fully.
What Are the Advantages of All-On-6 Dental Implants?
Cost-effective: With All-On-6 implants, the entire dental arch is backed by just six implants due to the angle they’re fitted. This method is more cost-effective than having lots of separate implants.
A comfy, safe treatment: Unlike dentures, All-On-6 implants shouldn’t relax, fall, or be worn out over time. They are a much more reliable and comfortable solution.
High success rates: All-On-6 implants procedure is a favorably successful surgery with a 95% success rate after ten years. The six implants have a lifetime success rate.
No bone grafting: All-On-6 implants are perfect for those with lower bone density as the implants can be fitted without the need for expensive and time-consuming bone grafts in most cases.
All-On-6 Dental Implant Alternatives
There are three possible alternatives to All-On-6 implants.
Dentures
Dentures are the slightest costly choice. They are made of an acrylic base, gum-coloured, and crowns made from porcelain or resin. Well-made dentures should remain without dental glue, although this is not always the issue. They don’t stop further jawbone loss as All-On-6 implants do, and they’ll become looser as the jawbone density decreases. Dentures have to change around every five years.
Single Dental Implants
Dental implants can be a choice when one or more teeth need to be restored. They’re the most pricey alternative for individuals needing full mouth reconstruction. The treatment time raises, especially if bone grafting is required, adding to the cost.
All-On-4 Dental Implants
All-On-4 implants follow the exact procedural steps as All-On-6 implants. However, this method fitted four implants to hold the dental arch. The All-On-6 implants process is suitable for patients with more jawbone density and jawbone strength than those who undergo the All-On-4 procedure.
All-On-6 Implants Procedure: Turkey or at Home?
There has been a notable rise in the number of people traveling to have All-On-6 implants in Turkey. Traveling for this procedure to Turkey is becoming more favored due to:
- Prices for All-On-6 implants abroad — like in Turkey, where they start at just €4950 — are usually much reasonable than in the UK and Europe.
- Some of the most highly experienced and recognized dental implant experts are in Turkey.
- The standards and quality of care at dental clinics in Turkey match — and often surpass — those of UK and European dental clinics.
- Traveling for dental treatment to Turkey lets you access some of the highest-quality facilities.
- You don’t compromise with the quality. All On Dental uses only European and FDA-certified dental materials, like Ivoclar Vivadent, Ritter, Straumann, Nobel Biocare.
Getting All-On-6 Implants In Turkey: How Does It Go?
Every year, hundreds of patients travel for All-On-6 implants procedure in Turkey. But, before booking your treatment, here are a few common tips from us.
How Long Will I Need to Be in Turkey To Get All-On-6 Implants?
Getting All-On-6 implants in Turkey demands two travels. Patients are usually in Turkey for two nights during the first visit, depending on their treatment plan. But, to get All-On-6 implants in Turkey, you’ll need to make two separate travels. After 4-6 months from the first visit, you will come again to craft the crowns on top of the six implants. The implant procedure will take place on the first trip, after which you’ll travel home to give the treated area time to heal before returning to fitting the abutment and crown.
What Does The Cost Of All-On-6 Implants Treatment Include?
The price depends on the individual case and follow-up treatments. The €4950 Euros include the cost of pre and post-op consultation, a CT scan, anaesthesia, and a set of 14 Zirconium crowns to wear on top of the six implants. We also offer all-inclusive packages that cover accommodation arrangements, an airport shuttle service, and transfers to and from the clinic.
What Happens With The Follow-up When I Get Home?
At All On Dental, we provide high-quality, end-to-end dental care. This implies that you can reach your coordinator and the dentist if you have any queries or concerns once you get home after your treatment — both after the first and the second trips.
Will My Dentist in Turkey Speak English?
The belief of being unable to communicate perfectly with your dentist is undoubtedly a turn-off. But, all our high-quality dentists in All On Dental clinic speak English fluently. On top of that, All On Dental offer translation services as part of the treatment package price.
Why Choose All On Dental For All-On-6 Implants?
Our mission is to make dental care an accessible reality for everyone who needs it conveniently, ably, and comfortably. By performing all stages of dentistry in-house, we can dedicate all our expertise to you and your case. In this way, we can provide patients with All-On-6 Implants in Istanbul that are beautiful, comfy to wear, and long-lasting enough to last a lifetime.
We put the patient first; we are on a mission to revolutionize healthcare. The urge to get high-quality, affordable dental care shouldn’t be defined by your location, which is why All On Dental exists.
✔ 100% Free Online Consultation: We’re here to help – whether you book your dental treatment with us. Our free 100% non-binding assessment is an easy, convenient way to determine which dental treatment is the best for you. Find out in just one email or call if it’s right for you.
✔ 100% Treatment Guarantee Policy: Our patients are at the centre of everything we do. We value patient satisfaction and recognize that a healthy smile is vital to feeling good about yourself. So we’re proud to offer a 100% satisfaction guarantee – if your treatment isn’t what We promised you or you experience any problems, it won’t cost you a penny to redo the treatment again in our clinic. If we can help you through any issues, we’ll also pay for a second treatment, accommodation, and transportation.
✔ All-Inclusive Packages: First travel to Turkey? We offer all-inclusive packages covering everything, including hotel accommodation, airport pick-up, and transfers to and from our clinic. Please book your flights and leave the rest to our patient service team. They will stay with you throughout your treatment to ensure everything goes as planned.
Why Choose Allon Dental for All-On-6 Dental Implants?
We combine world-class expertise with affordable pricing to deliver outstanding results that exceed your expectations.
100% Free Consultation
Get a completely free, no-obligation consultation with our specialist dentists. We'll assess your needs and provide a detailed treatment plan tailored just for you.
Learn More100% Guarantee Policy
We stand behind every treatment we provide. If you experience any issues within the guarantee period, we'll resolve them at no additional cost to you.
Learn MoreAll-Inclusive Packages
Our comprehensive packages include accommodation, airport transfers, and all follow-up care — so you can focus entirely on your new smile.
Learn More4.8/5
Google Rating
4.7/5
Trustpilot
5,000+
Happy Patients
15+
Years of Experience
Book your free consultation today and take the first step towards the smile you've always dreamed of with our expert team.
