
3-on-6 Dental Implant System
3-on-6 Dental Implant System
3-on-6 dental implants consist of three separate dental bridges placed on six dental implants. This rehabilitation is comparable to a dental bridge but with implants instead of natural teeth.
The treatment is ideal for a full-mouth restoration. It restores the natural arch of the teeth by evenly distributing bite forces.
It is an ideal treatment for missing an entire arch of teeth and is an option for a permanent denture that uses two to four implants. Since it does not require artificial gums, it is also aesthetically attractive.
3-on-6 Dental Implant System In a Nutshell
Everything you need to know about your 3-on-6 Dental Implant System treatment at a glance.
3-on-6 Dental Implant System is Perfect For
Treatment in Turkey
Treatment Duration
- Placement of dental implants takes about 1-2 hours under local anaesthesia and three days trip to Turkey
- Healing takes about 3-6 months for gums and jawbone
- Preparation of dental crowns takes 5-7 days
Success Rate
- About 95% of 3-on-6 implant procedures are successful
Recovery Period
The implant area and gums usually take about 10 days to heal. Full healing period is 3-6 months.
Things to Know
- Implant failure (5-10% incidence)
- Infection at the implant area
- Harm or damage to the surrounding teeth or blood vessels
- Nerve harm during placement of the implant, generating pain or numbness
- Failure in the implant integration to the jawbone
Alternative Treatments






All On Dental 3-on-6 Dental Implant System Prices
Treatment Options
Premium quality materials
Full Arch 3-On-6 Implant (6 Implants + 14 Crowns)
Per Arch
Full Arch 3-On-6 Implant (6 Implants + 14 Crowns)
Per Arch
Full Arch 3-On-6 Implant (6 Implants + 14 Crowns)
Per Arch
Price by Country
Compare and save big
Save compared to UK/USA prices
Everything You Need to Know About 3-on-6 Dental Implant System
How Much Do 3-on-6 Implants Cost In Turkey?
Costs of 3-on-6 implants have become more reasonable in recent years. But, these prices can differ based on a few different aspects:
- The dentist and clinic that you desire
- Whether you decide to get 3-on-6 implants in Turkey or abroad (usually lower prices)
- The place of the damaged or missing teeth
- The class of material used to create the crowns
- The type of Implants used and brand
What Is the 3-on-6 Implants Procedure?
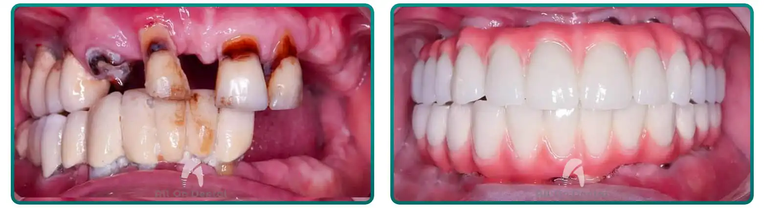
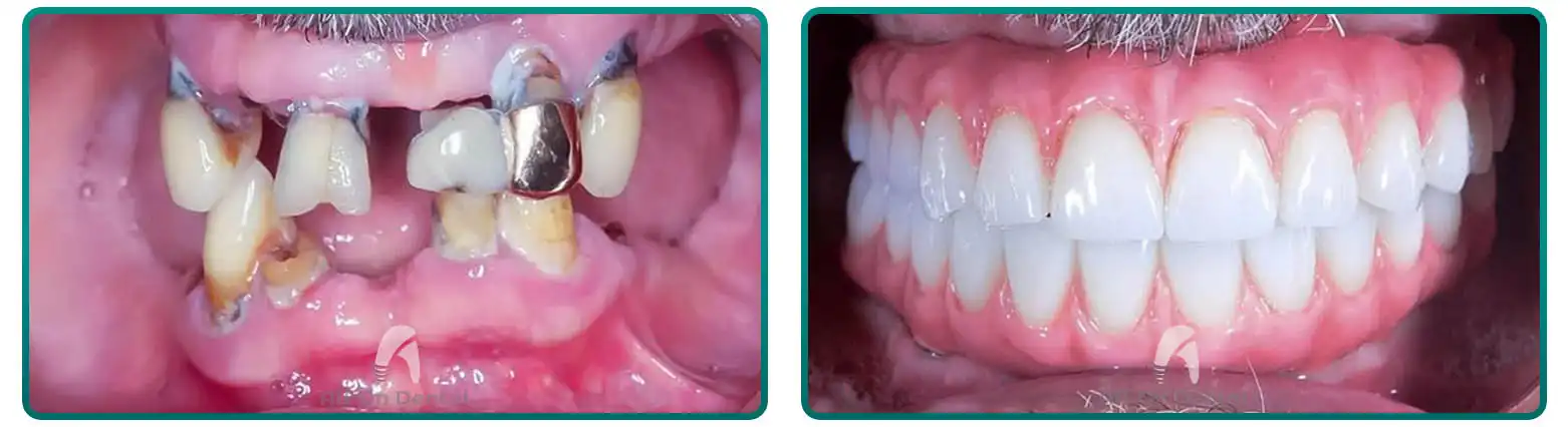
3-on-6 dental implants were specially designed and developed to let dentists restore more teeth with fewer implants. As the name means, Six implants are installed to provide continued strength and protect from jawbone loss. Three natural-looking, bright, and solid zirconium bridges are connected to the six implants with no acrylic mouthpiece. Chewing, smiling, and speaking feel like using your natural teeth—no glues or rinses. Brushing and flossing are all that are required.
3-on-6 Implants: Step-by-Step Guide
While the 3-on-6 procedure can differ depending on individual cases, some standard steps are applied.
1. Initial Consultation, CT Scans, and X-Rays
The pre-procedure step starts by taking a CT scan or X-ray to evaluate the situation of your mouth and jawbone density to determine if you are a good candidate. Impressions of your teeth and gum tissues are also made and sent to our dental lab to design customized prostheses — the jaw and tooth bridges connected to the implants.
2. Anaesthesia and Extraction
Local anaesthesia is delivered to numb the mouth area that your dentist will work on. If any teeth extraction is required, this will be done simultaneously with the implant fitting.
3. 3-on-6 Implant Placement
Four holes are made at the front of the jaw and two at the back. Implants are then installed at a 30-45° angle. All holes are stitched with soluble thread that dissolves within weeks. Around 3-6 months later, once your gums have fully healed, you can return to our clinic to fit the abutment and crowns.
4. Final Crowns
Our dental lab specialists will then create your absolute zirconia bridges based on your mouth impressions. We will schedule a final appointment, and you might need to stay in Istanbul for five nights. The doctor will position your last bridges and assure you they satisfy your expectations.
Your new 3-on-6 implants smile will be beautiful, natural-looking, and everlasting. You only need to maintain it with simple brushing and flossing. You will smile, speak, kiss, and chew with enthusiasm!
What Are the Advantages of 3-on-6 Dental Implants?
Cost-effective: With 3-on-6 implants, the three dental bridges are backed by just six implants due to their fitted angle. This method is more cost-effective than having lots of separate implants.
A comfy, safe treatment: Unlike dentures, 3-on-6 implants shouldn’t relax, fall, or be worn out over time. They are a much more reliable and comfortable solution.
High success rates: 3-on-6 implant procedure is a favourably successful surgery with a 95% success rate after ten years. The six implants have a lifetime success rate.
Durability: They are very stable since they are placed into your jawbone. They’ll last as long (or even longer) with proper maintenance than natural teeth. They’re an ideal choice for anyone considering long-term tooth restoration.
3-on-6 Dental Implant Alternatives
There are three possible alternatives to 3-on-6 implants.
Dentures
Dentures are the slightest costly choice. They are made of an acrylic base, gum-coloured, and crowns made from porcelain or resin. Well-made dentures should remain without dental glue, although this is not always the issue. They don’t stop further jawbone loss as 3-on-6 implants do, and they’ll become looser as the jawbone density decreases. Dentures have to change around every five years.
Single Dental Implants
Dental implants can be a choice when one or more teeth need to be restored. They’re the most pricey alternative for individuals needing full mouth reconstruction. The treatment time raises, especially if bone grafting is required, adding to the cost.
All-On-6 Dental Implants
All-On-6 implants follow the exact procedural steps as 3-on-6 implants. However, this method fitted six implants to hold an entire dental arch, not three dental bridges. The All-On-6 implants process is suitable for patients with more jawbone density and jawbone strength than those who undergo the 3-on-6 implants surgery.
3-on-6 Implants Procedure: Turkey or at Home?
There has been a notable rise in the number of people travelling to have 3-on-6 implants in Turkey. Travelling for this procedure to Turkey is becoming more favoured due to:
- Prices for 3-on-6 implants abroad — like in Turkey, where they start at €5500 — are usually much more reasonable than in the UK and Europe.
- Some of the most highly experienced and recognized dental implant experts are in Turkey.
- The standards and quality of care at dental clinics in Turkey match — and often surpass — those of UK and European dental clinics.
- Travelling for dental treatment in Turkey lets you access some of the highest-quality facilities.
- You don’t compromise with the quality. All On Dental uses only European and FDA-certified dental materials, like Ivoclar Vivadent, Ritter, Straumann, and Nobel Biocare.
Getting 3-on-6 Implants In Turkey: How Does It Go?
Every year, hundreds of patients travel for 3-on-6 implants procedure in Turkey. But, before booking your treatment, here are a few common tips from us.
How Long Will I Need to Be in Turkey To Get 3-on-6 Implants?
Getting 3-on-6 implants in Turkey requires two travels. Patients are usually in Turkey for two nights during the first visit, depending on their treatment plan. But, to get 3-on-6 implants in Turkey, you’ll need to make two separate travels. After 4-6 months from the first visit, you will come again to craft the three dental bridges on top of the six implants. The implant procedure will take place on the first trip, after which you’ll travel home to give the treated area time to heal before returning to fitting the abutment and crown.
What Does The Cost Of 3-on-6 Implants Treatment Include?
The price depends on the individual case and follow-up treatments. The €5500 Euros include the cost of pre and post-op consultation, a CT scan, anaesthesia, and the three Zirconium dental bridges to wear on top of the six implants. We also offer all-inclusive packages that cover accommodation arrangements, an airport shuttle service, and transfers to and from the clinic.
What Happens With The Follow-up When I Get Home?
At All On Dental, we provide high-quality, end-to-end dental care. This means you can reach your coordinator and the dentist if you have any queries or concerns once you get home after your treatment — both after the first and the second trips.
How Long Do 3-on-6 Dental Implants Last?
For lifetime! If you take care of your implants correctly, they should stay a lifetime. You will always need to floss and brush and avoid smoking and drugs; these habits can damage jawbone density and the implant’s survival rate.
Why Choose All On Dental For 3-on-6 Implants?
Our mission is to make dental care an accessible reality for everyone who needs it conveniently, ably, and comfortably. By performing all stages of dentistry in-house, we can dedicate all our expertise to you and your case. In this way, we can provide patients with dental implants and crowns in Istanbul that are beautiful, comfy to wear, and long-lasting enough to last a lifetime.
We put the patient first; we are on a mission to revolutionize healthcare. The urge to get high-quality, affordable dental care shouldn’t be defined by your location, which is why All On Dental exists.
✔ 100% Free Online Consultation: We’re here to help – whether you book your dental treatment with us. Our free 100% non-binding assessment is an easy, convenient way to determine which dental treatment is the best for you. Find out in just one email or call if it’s right for you.
✔ 100% Treatment Guarantee Policy: Our patients are at the centre of everything we do. We value patient satisfaction and recognize that a healthy smile is vital to feeling good about yourself. So we’re proud to offer a 100% satisfaction guarantee – if your treatment isn’t what We promised you or you experience any problems, it won’t cost you a penny to redo the treatment again in our clinic. If we can help you through any issues, we’ll also pay for a second treatment, accommodation, and transportation.
✔ All-Inclusive Packages: First travel to Turkey? We offer all-inclusive packages covering everything, including hotel accommodation, airport pick-up, and transfers to and from our clinic. Please book your flights and leave the rest to our patient service team. They will stay with you throughout your treatment to ensure everything goes as planned.
Why Choose Allon Dental for 3-on-6 Dental Implant System?
We combine world-class expertise with affordable pricing to deliver outstanding results that exceed your expectations.
100% Free Consultation
Get a completely free, no-obligation consultation with our specialist dentists. We'll assess your needs and provide a detailed treatment plan tailored just for you.
Learn More100% Guarantee Policy
We stand behind every treatment we provide. If you experience any issues within the guarantee period, we'll resolve them at no additional cost to you.
Learn MoreAll-Inclusive Packages
Our comprehensive packages include accommodation, airport transfers, and all follow-up care — so you can focus entirely on your new smile.
Learn More4.8/5
Google Rating
4.7/5
Trustpilot
5,000+
Happy Patients
15+
Years of Experience
Book your free consultation today and take the first step towards the smile you've always dreamed of with our expert team.
