Before & After Gallery
Real Patient Stories
Discover the life-changing transformations of our patients at All On Dental. Every smile tells a unique story of regained confidence.
Featured Transformation
Hollywood Smile Makeover

Complete smile transformation with 20 porcelain veneers. Patient achieved a natural, bright, and confident smile.
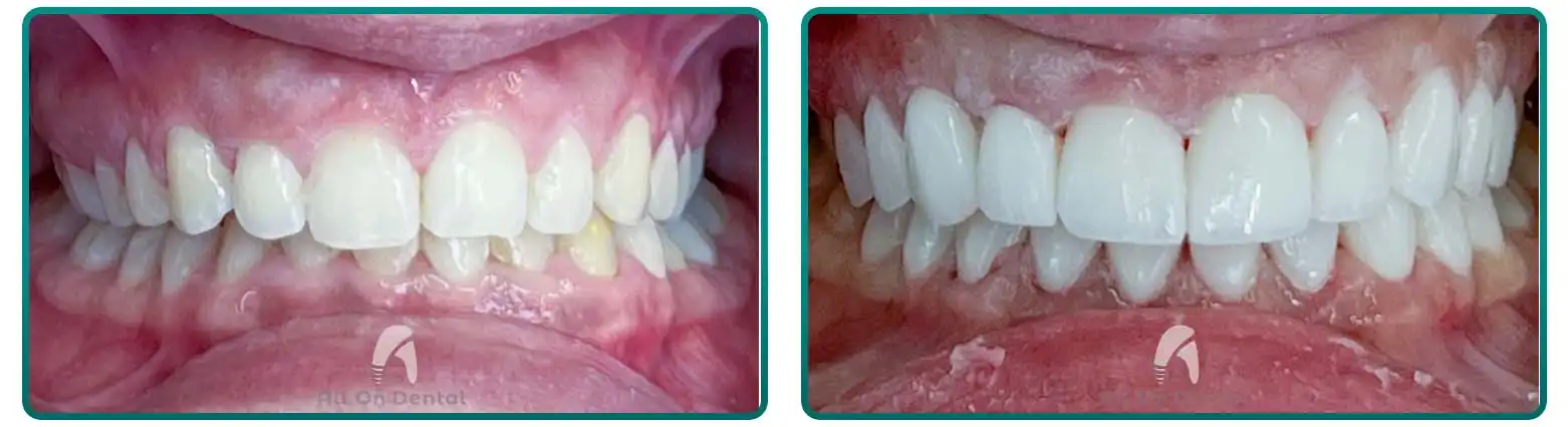
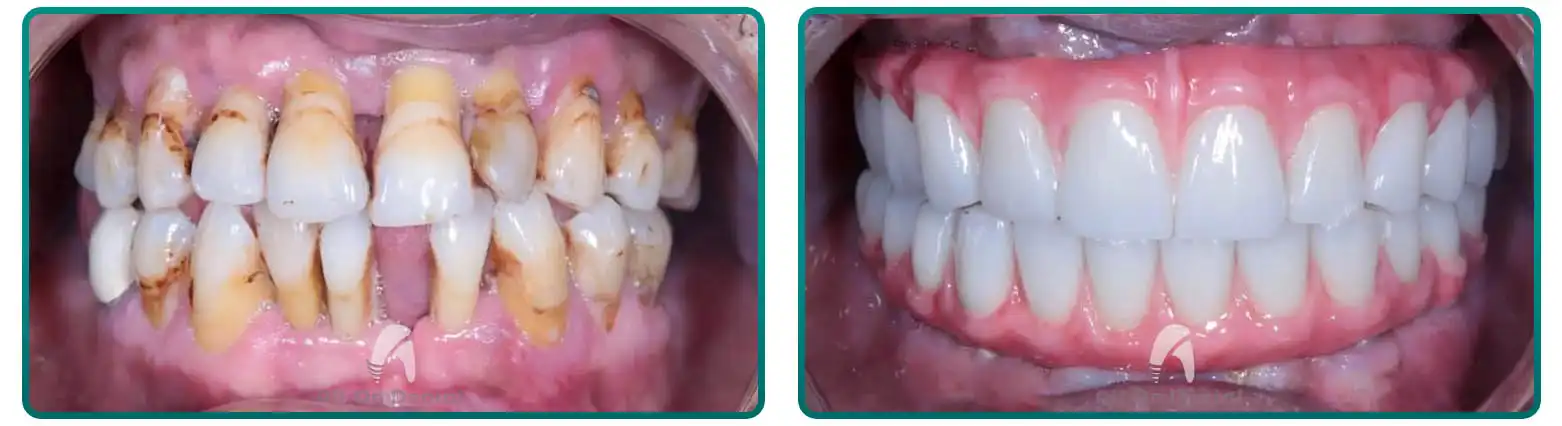
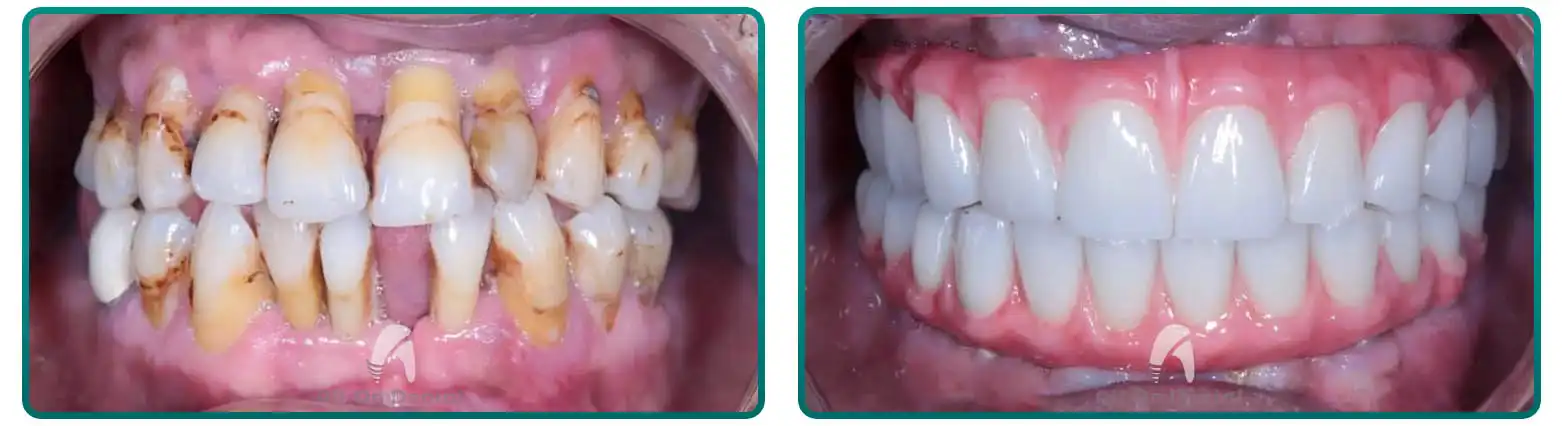
Hollywood Smile with Porcelain Veneers

20 porcelain veneers for a complete smile makeover
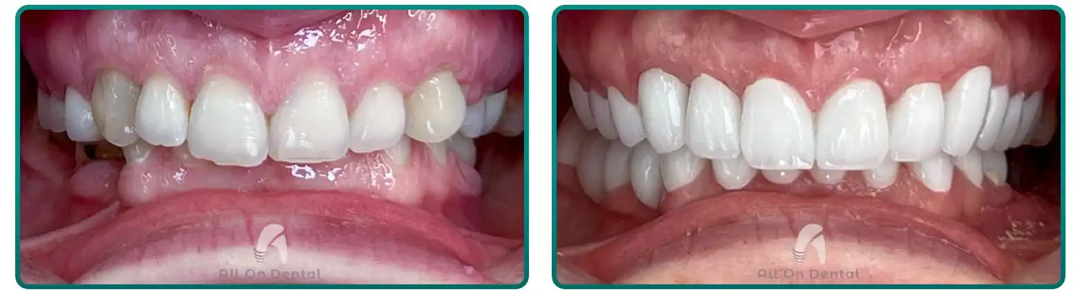
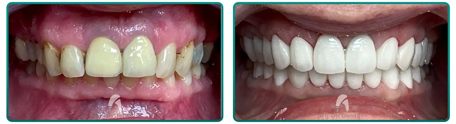
Veneers for Discolored Teeth

Natural-looking veneers to correct severe discoloration
Smile Design with Veneers

Custom smile design with aesthetic veneers
Veneers for Gap Teeth

Closing gaps and reshaping teeth with veneers
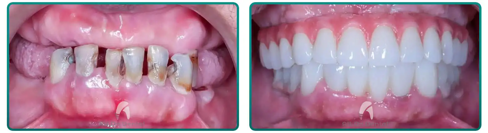
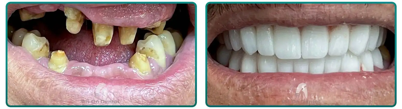
Full Arch Restoration with All-On-4

Complete upper arch restoration in one day
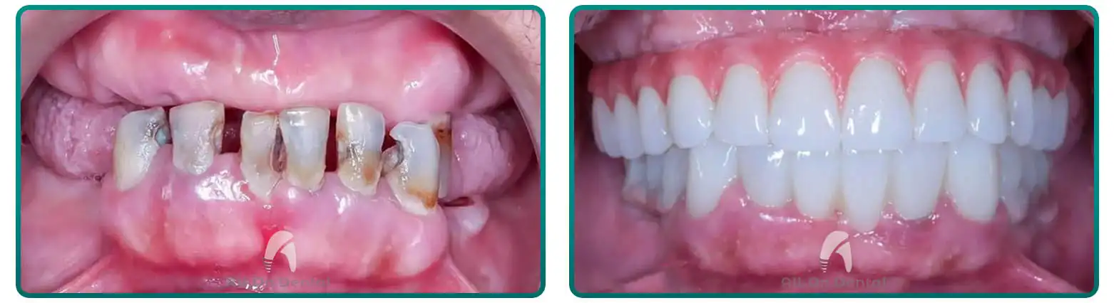
All-On-4 Lower Jaw Reconstruction

Full lower jaw restoration with fixed prosthesis
All-On-4 Smile Transformation

From missing teeth to a perfect smile with All-On-4
All-On-6 Full Mouth Restoration

Enhanced stability with 6-implant solution
All-On-6 Upper Arch Makeover

Complete upper jaw restoration with All-On-6
All-On-6 Bilateral Solution

Both arches restored with All-On-6 technique
3-On-6 Bridge Solution

Three-unit bridge supported by 6 implants
3-On-6 Posterior Restoration

Back teeth restoration with 3-On-6 method
3-On-6 Aesthetic Reconstruction

Natural-looking restoration with 3-On-6
Professional Teeth Whitening

Up to 8 shades whiter in one session
Laser Teeth Whitening

Advanced laser whitening for stubborn stains
Zoom Whitening Treatment

Fast and effective Zoom whitening results
Hollywood White Smile

Achieving a bright, Hollywood-style smile
3-Unit Dental Bridge

Replacing missing tooth with fixed bridge
Multiple Unit Bridge

Restoring multiple missing teeth with bridge
Porcelain Bridge Restoration

Natural-looking porcelain bridge solution
Front Teeth Bridge

Aesthetic bridge for anterior teeth
Full Mouth Bridge Work

Comprehensive bridge treatment for full mouth
Hollywood Smile with Porcelain Veneers

20 porcelain veneers for a complete smile makeover
Veneers for Discolored Teeth

Natural-looking veneers to correct severe discoloration
Smile Design with Veneers

Custom smile design with aesthetic veneers
Veneers for Gap Teeth

Closing gaps and reshaping teeth with veneers
Full Arch Restoration with All-On-4

Complete upper arch restoration in one day
All-On-4 Lower Jaw Reconstruction

Full lower jaw restoration with fixed prosthesis
All-On-4 Smile Transformation

From missing teeth to a perfect smile with All-On-4
All-On-6 Full Mouth Restoration

Enhanced stability with 6-implant solution
All-On-6 Upper Arch Makeover

Complete upper jaw restoration with All-On-6
All-On-6 Bilateral Solution

Both arches restored with All-On-6 technique
3-On-6 Bridge Solution

Three-unit bridge supported by 6 implants
3-On-6 Posterior Restoration

Back teeth restoration with 3-On-6 method
3-On-6 Aesthetic Reconstruction

Natural-looking restoration with 3-On-6
Professional Teeth Whitening

Up to 8 shades whiter in one session
Laser Teeth Whitening

Advanced laser whitening for stubborn stains
Zoom Whitening Treatment

Fast and effective Zoom whitening results
Hollywood White Smile

Achieving a bright, Hollywood-style smile
3-Unit Dental Bridge

Replacing missing tooth with fixed bridge
Multiple Unit Bridge

Restoring multiple missing teeth with bridge
Porcelain Bridge Restoration

Natural-looking porcelain bridge solution
Front Teeth Bridge

Aesthetic bridge for anterior teeth
Full Mouth Bridge Work

Comprehensive bridge treatment for full mouth
